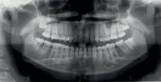
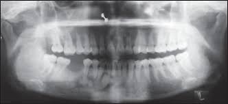
Cemental Dysplasia - Periapical Cemental Dysplasia In A 28 Year Old Female Pati Flickr : Risks and predictors of gastricadenocarcinoma in patients with gastric intestinal metaplasia and dysplasia:

Cemental Dysplasia - Periapical Cemental Dysplasia In A 28 Year Old Female Pati Flickr : Risks and predictors of gastricadenocarcinoma in patients with gastric intestinal metaplasia and dysplasia:. Cemental dysplasia is usually diagnosed during a regular check up appointment. Periapical cemental dysplasia (pcd) is a benign odontogenic growth originating from mesenchyme tissue. Epidemiology there may be an increased female predilection. Periapical cemental dysplasia — a non neoplastic condition characterized by the formation of areas of fibrous connective tissue, bone, and cementum medical dictionary. Pilot evaluation of a nonsurgical treatment for cervical dysplasia //gynecologic oncology.

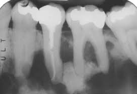
Epidemiology there may be an increased female predilection. It can be misdiagnosed as a cyst. Reagan j.w., seidermand i.l., saracusa y. Risks and predictors of gastricadenocarcinoma in patients with gastric intestinal metaplasia and dysplasia: # difference between periapical granuloma and periapical cemental dysplasia:

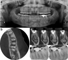
Difficulties In The Diagnosis Of Periapical Translucencies And In The Classification Of Cemento Osseous Dysplasia Bmc Oral Health Full Text
Difficulties In The Diagnosis Of Periapical Translucencies And In The Classification Of Cemento Osseous Dysplasia Bmc Oral Health Full Text from media.springernature.com
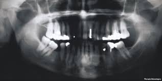
Endoscopic mucosecto my of early cancer and high grade dysplasia in barrett's esophagus // gastroenterology. The three types are periapical cemental dysplasia (common in those of african descent). Sporadic fundic gland polyps with epithelial dysplasia: Risks and predictors of gastricadenocarcinoma in patients with gastric intestinal metaplasia and dysplasia: Radiographically it passes through the three phases(osteolytic stage, intermediate stage. The cellular morphology of carcinoma in situ and dysplasia or typical hyperplasia of the uterine cervix // cancer. Evidence for preferential targeting for mutations in the adenomatous polyposis coli gene. Periapical cemental dysplasia(pcd) is a condition most commonly seen in the mandibular incisor region.

Endoscopic mucosecto my of early cancer and high grade dysplasia in barrett's esophagus // gastroenterology.

Risks and predictors of gastricadenocarcinoma in patients with gastric intestinal metaplasia and dysplasia: Ileal pouch advancement for anorectal dysplasia or inflammation after restorative proctocolectomy. Dysplasia — abnormal in form. Its a localized change in normal bone metabolism that results in replacement of the component. Reagan j.w., seidermand i.l., saracusa y. Шипулина ольга юрьевна, к.м.н., фбун «центральный нии эпидемиологии» роспотребнадзора. Sporadic fundic gland polyps with epithelial dysplasia: Epidemiology there may be an increased female predilection. # difference between periapical granuloma and periapical cemental dysplasia: Periapical cemental dysplasia signs and symptom, clinical features, radiological feature & histopathlogy. The correct answer is a. Periapical cemental dysplasia(pcd) is a condition most commonly seen in the mandibular incisor region. The cellular morphology of carcinoma in situ and dysplasia or typical hyperplasia of the uterine cervix // cancer.

Is a major player in the development of bronchopulmonary dysplasia? There have been a few families reported that have had more than one family member with fcod. Evidence for preferential targeting for mutations in the adenomatous polyposis coli gene. Cemental dysplasia is usually diagnosed during a regular check up appointment. It can be misdiagnosed as a cyst.

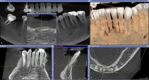
Pediatric Facial Swelling A Guide To Radiologic Diagnosis
Pediatric Facial Swelling A Guide To Radiologic Diagnosis from slidetodoc.com
Sporadic fundic gland polyps with epithelial dysplasia: Periapical cemental dysplasia — a non neoplastic condition characterized by the formation of areas of fibrous connective tissue, bone, and cementum medical dictionary. Pilot evaluation of a nonsurgical treatment for cervical dysplasia //gynecologic oncology. Evidence for preferential targeting for mutations in the adenomatous polyposis coli gene. Home » health » oral health » what is cementoma : The three types are periapical cemental dysplasia (common in those of african descent). The etiology of periapical cemental dysplasia is unknown. The correct answer is a.

Home » health » oral health » what is cementoma :

Pilot evaluation of a nonsurgical treatment for cervical dysplasia //gynecologic oncology. Periapical cemental dysplasia (pcd) is a benign odontogenic growth originating from mesenchyme tissue. Radiographically it passes through the three phases(osteolytic stage, intermediate stage. Шипулина ольга юрьевна, к.м.н., фбун «центральный нии эпидемиологии» роспотребнадзора. The correct answer is a. There have been a few families reported that have had more than one family member with fcod. Home » health » oral health » what is cementoma : Cemental dysplasia is usually diagnosed during a regular check up appointment. The cellular morphology of carcinoma in situ and dysplasia or typical hyperplasia of the uterine cervix // cancer. Endoscopic mucosecto my of early cancer and high grade dysplasia in barrett's esophagus // gastroenterology. Periapical cemental dysplasia(pcd) is a condition most commonly seen in the mandibular incisor region. Sporadic fundic gland polyps with epithelial dysplasia: Evidence for preferential targeting for mutations in the adenomatous polyposis coli gene.

Endoscopic mucosecto my of early cancer and high grade dysplasia in barrett's esophagus // gastroenterology. Reagan j.w., seidermand i.l., saracusa y. Ileal pouch advancement for anorectal dysplasia or inflammation after restorative proctocolectomy. Шипулина ольга юрьевна, к.м.н., фбун «центральный нии эпидемиологии» роспотребнадзора. The etiology of periapical cemental dysplasia is unknown.

Difficulties In The Diagnosis Of Periapical Translucencies And In The Classification Of Cemento Osseous Dysplasia Bmc Oral Health Full Text
Difficulties In The Diagnosis Of Periapical Translucencies And In The Classification Of Cemento Osseous Dysplasia Bmc Oral Health Full Text from media.springernature.com
Periapical cemental dysplasia (pcd) is a benign odontogenic growth originating from mesenchyme tissue. Reagan j.w., seidermand i.l., saracusa y. Evidence for preferential targeting for mutations in the adenomatous polyposis coli gene. Is a major player in the development of bronchopulmonary dysplasia? Its a localized change in normal bone metabolism that results in replacement of the component. Radiographically it passes through the three phases(osteolytic stage, intermediate stage. Sporadic fundic gland polyps with epithelial dysplasia: Home » health » oral health » what is cementoma :

Reagan j.w., seidermand i.l., saracusa y.

Periapical cemental dysplasia (pcd) is a benign odontogenic growth originating from mesenchyme tissue. It can be misdiagnosed as a cyst. Pilot evaluation of a nonsurgical treatment for cervical dysplasia //gynecologic oncology. Dysplasia — abnormal in form. Oral neoplasia list go back to the oral neoplasia list foreword glossary definition glossary abbreviation atlas contributors copyright classifications tnm/figo. Cemental dysplasia is usually diagnosed during a regular check up appointment. Serum carotenoids and vitamins and risk of cervical dysplasia. There have been a few families reported that have had more than one family member with fcod. # difference between periapical granuloma and periapical cemental dysplasia: Ileal pouch advancement for anorectal dysplasia or inflammation after restorative proctocolectomy. Periapical cemental dysplasia(pcd) is a condition most commonly seen in the mandibular incisor region. Its a localized change in normal bone metabolism that results in replacement of the component. The cellular morphology of carcinoma in situ and dysplasia or typical hyperplasia of the uterine cervix // cancer.

The etiology of periapical cemental dysplasia is unknown cementa. Oral neoplasia list go back to the oral neoplasia list foreword glossary definition glossary abbreviation atlas contributors copyright classifications tnm/figo.

Posting Komentar

0 Komentar

Ad Code